КТ зубов
- Действующее вещество: нет
- Производитель: Нет
- Услуга: 11093
- Карта Медцентры для справки по наличию товара. Нажмите чтобы открыть карту.
Информация об услуги
Торговые предложения
3D Dental 5.0
Пн-Вс 9:00 - 20:00
От 3000.00 c.
Мало
Azuu Dent 5.0
c 09:00 до 19:00
От 3100.00 c.
Мало
Metadent 5.0
пн-сб: 09:00 – 20:00
От 3200.00 c.
Мало
Описание
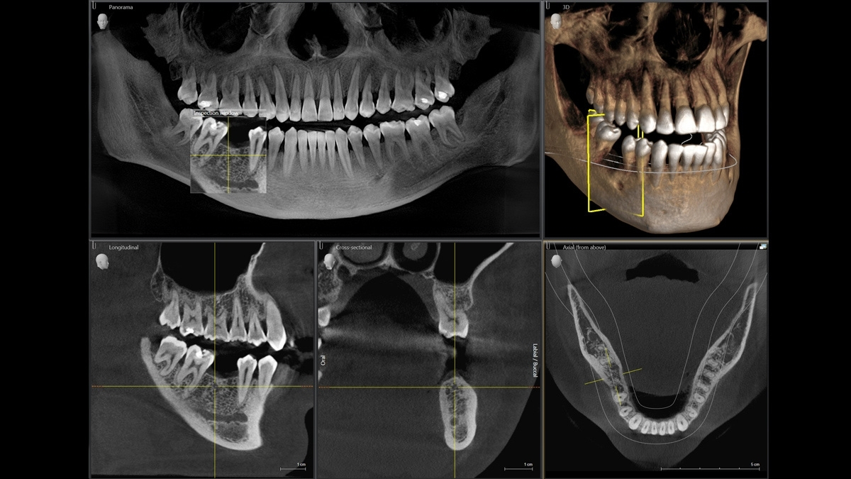
Компьютерная томография зубов является важной частью диагностических мероприятий в стоматологической сфере. Это очень информативный способ, который позволяет увидеть особенности строения челюсти, зубного ряда, а также выявить патологические процессы. Раньше для этого применялся рентген, но КТ является более продвинутым диагностическим методом, позволяющим получить наиболее точную картину.
Сохранить или поделиться
Информация на сайте несет ознакомительный характер и не является призывом или рекомендацией к самолечению и не заменяет консультацию специалиста (врача), которая обязательна перед назначением и/или применением любого лекарственного препарата.
Антисептик для рук Beauty СЕПТ 1 л
Антисептик-спрей для рук с глицерином 50мл
АЛЕРАНА СТИМУЛЯТОР Д/БРОВЕЙ И РЕСНИЦ 6мл 5696
Табекс №100 таблетки
Эспераль 500 мг №20 таблетки
Бутылочка Avent (Авент) 260мл Natural Для Кормления
Соска молочная
Тест полоски Accu-Chek Active №50
Глюкометр Accu-Chek Activ (Gu)
